shoji-asano.com 浅野正司
浅野デンタルアート
技工物はこちらにおまかせください。
説明
浅野デンタルアートでは、歯科医院様からのご要望にお応えすべく、様々な審美系技工物を取り扱っております。
患者様ご本人の希望と、治療計画にマッチした材質をご選択頂く事が可能です。
Hybrid Rejin硬質レジン
プラスティックの一種です。
有る程度の硬さと柔軟性の両面の性質を持ち、インレーやアンレーといった、詰め物の治療に最適です。
ジャケットクラウン(単冠)や、金属の裏打ちにより、強度を上げブリッジに使用することも出来ます。
エステティック材料の中では、一番コストが掛からないためリーズナブルな治療費用となります。
しかし保健材料程ではありませんが、長年使用していると、着色や破折も起こることがあります。
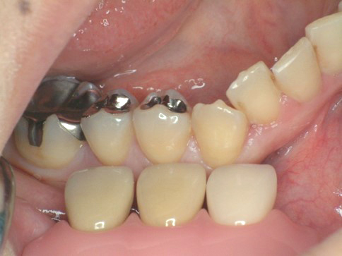
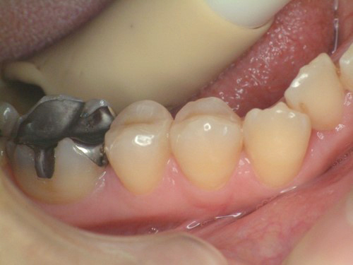
Metal Ceramic金属フレーム焼付セラミック
金属とセラミックスの複合体なので、広い適応範囲(多くのケースに使用可能)を持っています。
高強度と耐色性を持っています。
審美再現性を持っています。
内部が金属のため、歯茎が下がると黒いラインが見えたり、透過性に限界があり、ケースによっては審美性が発揮できない場合もあります。
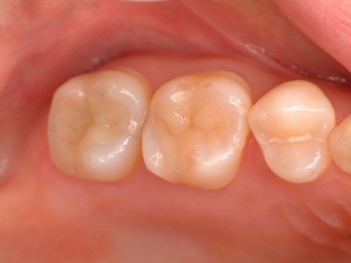
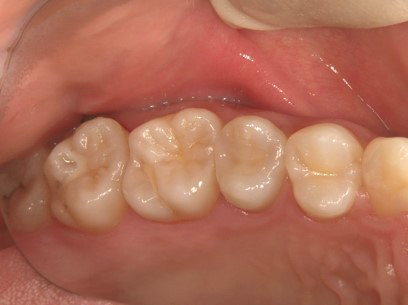
All Ceramicsオールセラミック
Zirconiaジルコニアフルクラウン&焼付セラミック
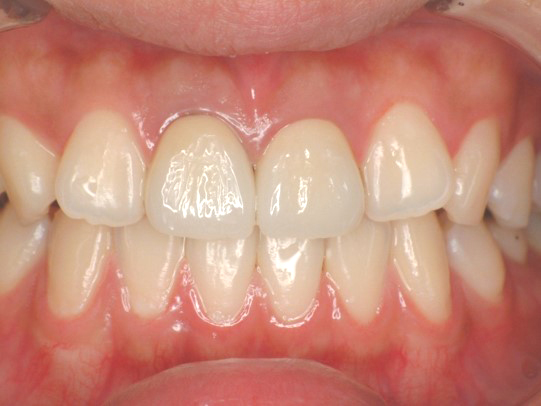
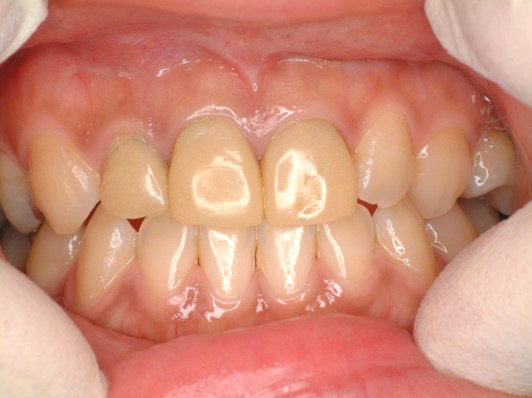
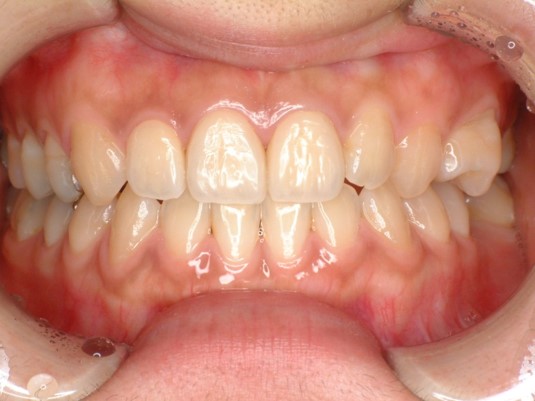
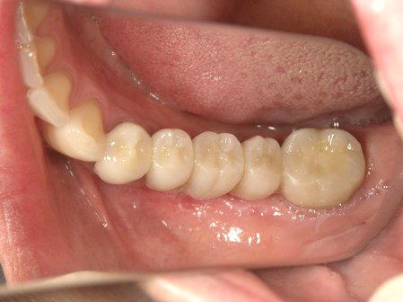
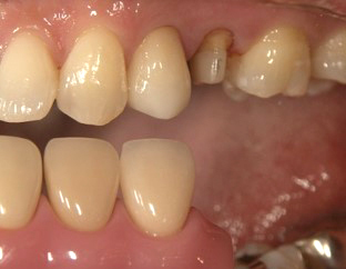
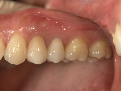
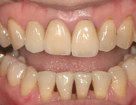
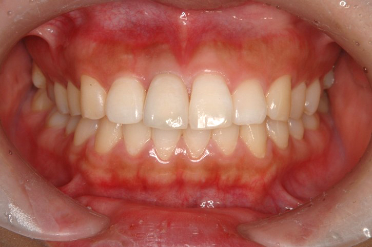
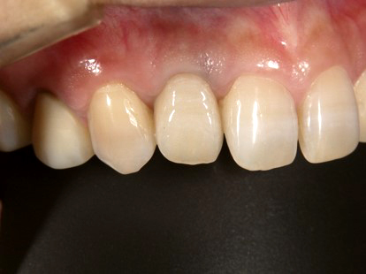
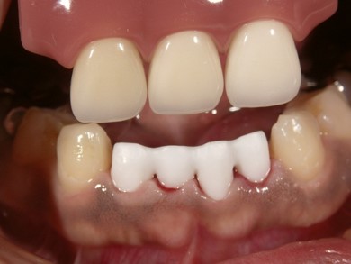
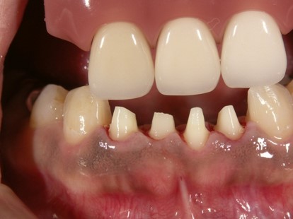
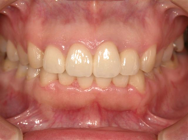
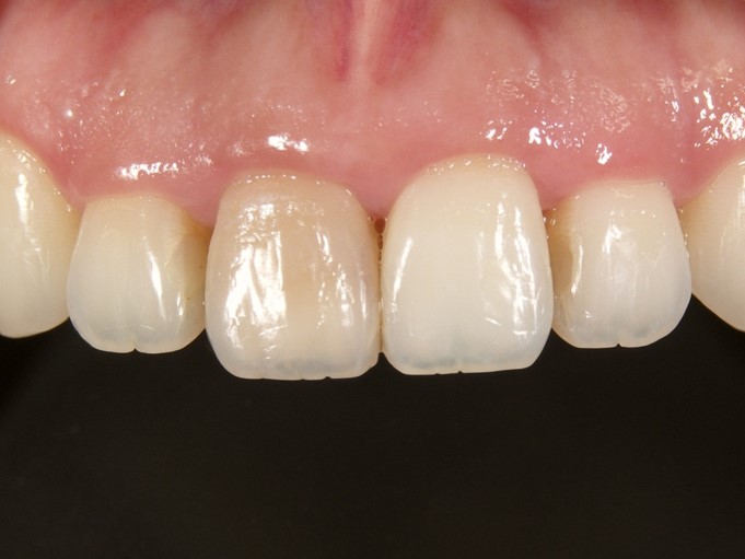
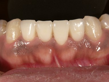
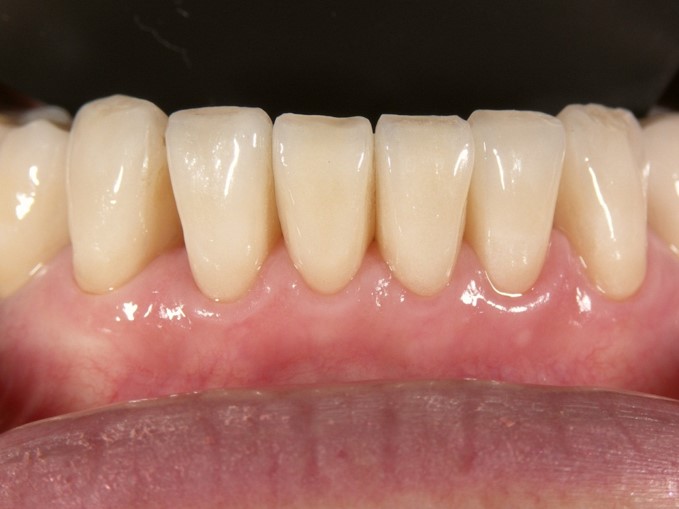
酸化ジルコニウム(ファインセラミックスの一種)のフレームを使用します。 フレーム自体に透過性があり、焼き付けの場合は、最高の審美再現性を発揮します。 また生体親和性の高い(優しい)材質です。 ジルコニアは、歯科用セラミックスの中で最高の強度を持っているため、ブリッジなど多様なケースに対応できます。 現在使われている材質の中で、最新かつ最先端技術を駆使して製作するので、コストがかかります。
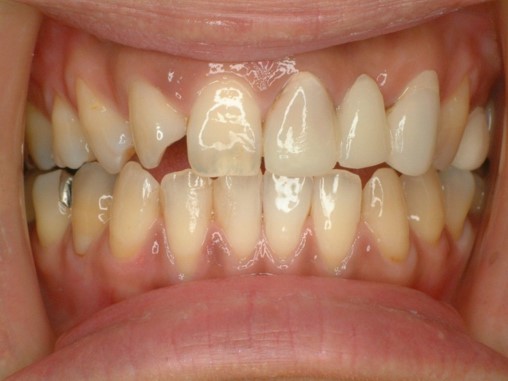
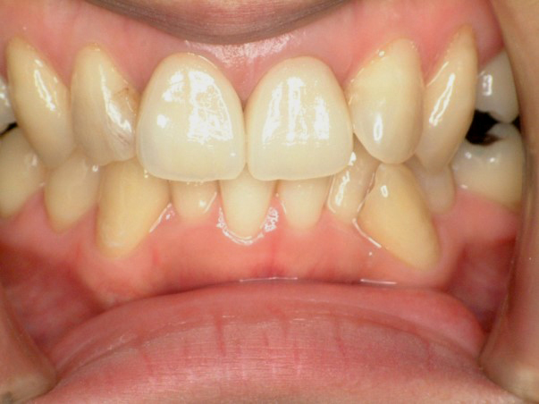
before
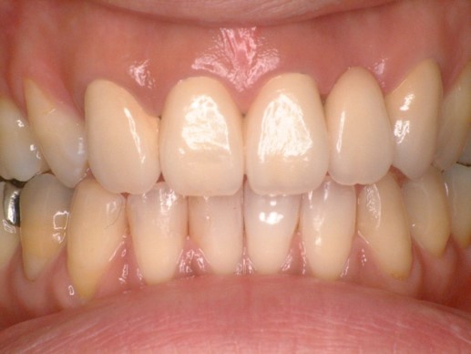
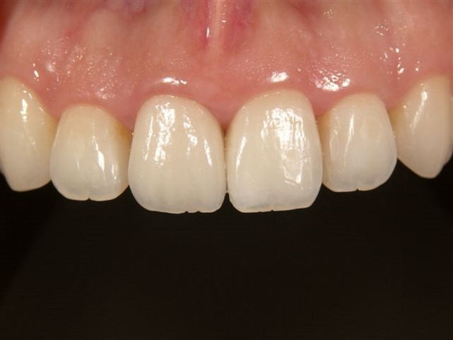
after
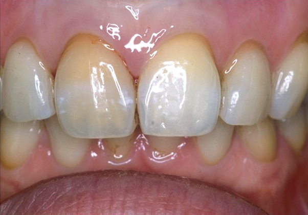
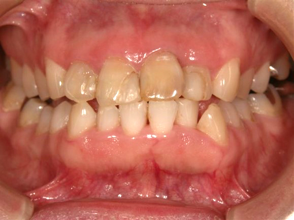
before
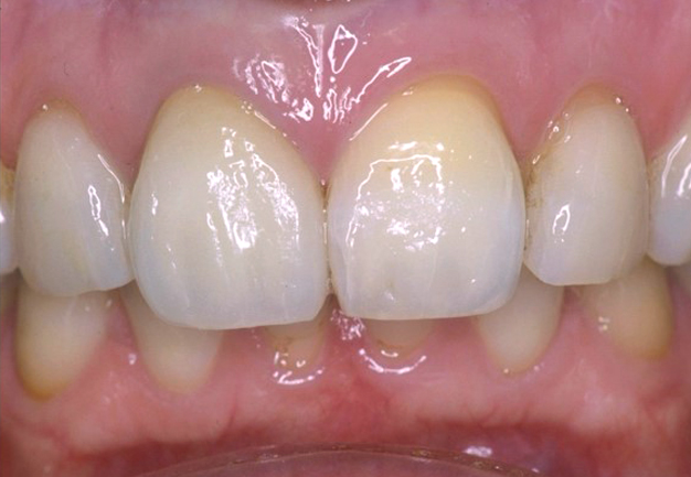
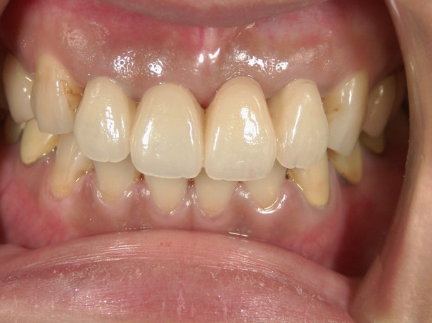
after
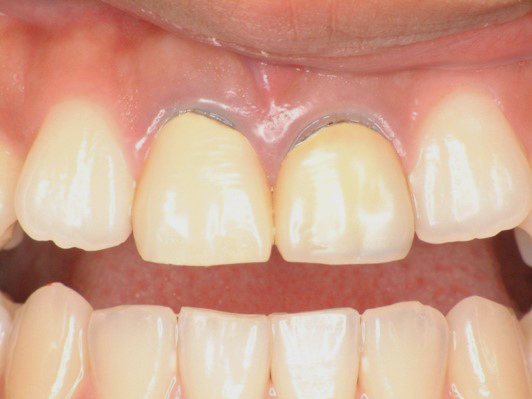
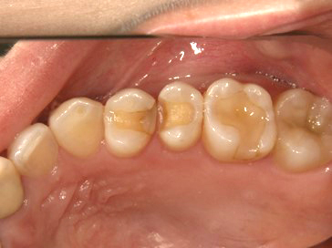
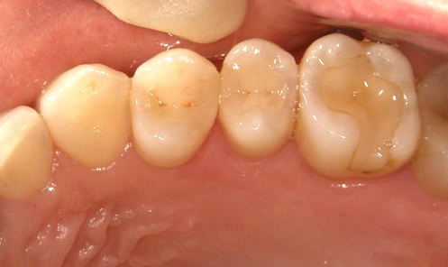
Aluminaアルミナ焼き付けセラミック
※アルミナフレームは、現在取り扱っておりません。
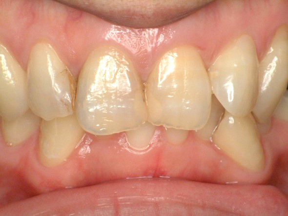
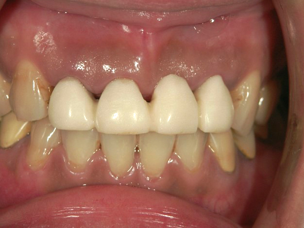
酸化アルミニウム(ファインセラミックの一種)のフレームを使用します。 フレーム自体に透過性が有るため、クラウンを入れたときに天然歯と非常にマッチするため、高い審美性を求められる患者さんに最適です。 セラミックスフレームであるため、金属アレルギーの方をはじめ、生体に優しい材質です。 フレーム強度の関係で、当院では単冠(1本)のみの使用限り、また噛み合わせの関係で、臼歯部など適応できないケースもあります。
before
after
before
after
before
after
フレームは透過性のある白色なので、中央・裏ともに美しい色調に仕上がります
Press Ceramicsプレスセラミックス
セラミックを高温で溶かして鋳込みます。強度も高く、変色しません。専用陶材の焼き付けも出来、高い審美性の再現が可能です。複雑な形に対応できるため、インレーなどの詰め物や、表面だけのベニアなどに最適です。しかし、強度もジルコニアには及ばないため小臼歯までの単冠症例に限られます。
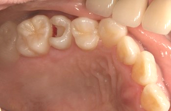
インプラント治療への応用
これまでご紹介した審美材料は、インプラント治療への応用も可能です。 不幸にして大切な歯を失ってしまった方でも、インプラントと審美材料を使用することにより噛む機能と審美の修復が可能です。 第2の永久歯として十分な器量を発揮してくれるはずです。 骨の状態などで場合によっては、インプラント治療が不可能な場合もあります。
浅野デンタルアート
浅野デンタルアートでは、歯科医院様からのご要望にお応えすべく、
様々な審美系技工物を取り扱っております。
下記までお気軽にお問合せください。
0568-84-5089
著作権表示
© 2013 Shoji Asano





























